Nasopharyngeal Carcinoma (NPC)
Neck mass from Nasopharyngeal Cancer (NPC)
Ulcerative lesion in the Nasopharynx
Early NPC seen endoscopically
Typical NPC with ulcerative lesion seen endoscopically
Nasopharyngeal Carcinoma, commonly known as NPC, presents as a nodal lump in the upper neck.
This is diagnosed by a nasoendoscopic examination and biopsy of the tumor under local anaesthesia in the clinic.
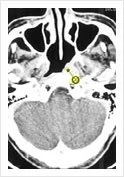
Early NPC on Axial CT Scan
PET Scan Confirmation
PNS Biopsy under direct vision with endoscope and biopsy forceps
NPC is confirmed on an endoscopic directed post-nasal biopsy under local anesthesia in the clinic.
Early NPC is rare as it is in a silent area and symptoms present late in the disease.
Upon diagnosis, a PET scan is done to evaluate neck and ascertain the stage the disease.
This will determine the need for chemotherapy in addition to radiotherapy after accurate staging of the tumor.
Instruments for PNS Biopsy
Normal looking Nasopharynx with adenoid pad.
Advanced NPC is treated by a combination of chemotherapy and radiotherapy.

