Clinical Services Stanley Ear Nose Throat & Sinus Centre

  • Head & Neck Screening / Surgery

    • Neck mass from Nasopharyngeal Cancer (NPC)
    • Typical NPC with ulcerative lesion seen endoscopically in theright side of the
      nasopharynx
    • Early NPC seen endoscopically
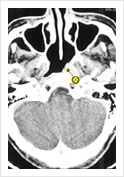
    • Early NPC on Axial CT Scan
    • Multi-Disciplinary Approach
    • PET scan confirmation of primary and metastalle disease

    Dr Stanley was trained as a Head & Neck surgeon, and has handled major head and neck cancer resections and reconstructions. A Head and Neck team approach is available. The team will include an oral surgeon and a plastic surgeon.

     

    Thyroid surgery is part of Head & Neck surgery and diagnostic tests like fine needle aspiration cytology (FNAC) are available in the clinic. Thyroidectomy is also performed whenever necessary.

     

    Head and neck cancer screening is also available. This is particularly with reference to Nasophageal Cancer (NPC). This would include a thorough video nasolaryngoscopic examination in addition to screening of the Epstein-Barr Virus (EBV) serology (IgA anti VCA, IgA anti EA), which is done at the W.H.O Laboratory at the National University Hospital, Singapore. This is for patients who are at risk ie. first degree relatives of a patient with NPC.

Call Now

Contact Us